
“Malunya nak pergi open house dengan gigi macam ni..” kesian Hani. Sudah dapat kad jemputan, style dan pakaian sudah tersedia tetapi tiada keyakinan kerana rupa dan bentuk gigi yang tidak memuaskan bagi Hani sendiri.
.
Senyuman bagaikan peralatan untuk menarik perhatian orang terutamanya jika seseorang yang mudah mesra sehinggakan boleh dilihat senyuman yang mengemukakan permukaan gigi yang jelas lebih terang berbanding lampu yang disuluh.
APA ANDA PERLU LAKUKAN SEKIRANYA ANDA BERADA DALAM SITUASI DI ATAS??
1) Pertama sekali anda harus tenangkan diri dan berfikir sejenak, takkan tidak ada klinik gigi yang beroperasi pada hujung minggu? Ya sudah tentu sesetengah klinik gigi tidak beroperasi semasa hujung minggu apatah lagi semasa open house yang mengejut pada hari Sabtu atau Ahad tetapi As-Salam Dental, Semenyih sentiasa beroperasi dan akan bersedia untuk memberikan perkhidmatan terbaik buat anda!! Jadi jangan lupa untuk klik pautan dibawah nanti.
2) Seterusnya, anda haruslah menyediakan bajet yang berpatutan sebelum memulakan perkhidmatan pemasangan braces atau pendakap gigi. Ini akan membuatkan anda membuat persediaan yang lebih baik dan membuat pilihan yang bijak sebelum membuat sebarang rawatan.
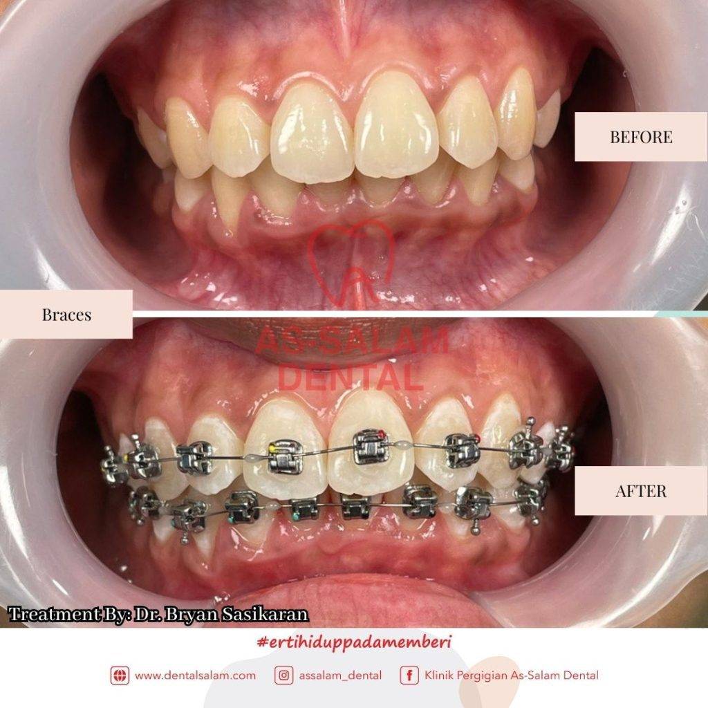
3) Anda juga perlu mendapatkan nasihat doktor gigi tentang prosedur dan tempoh pemakaian braces! Kami mempunyai dua jenis rawatan untuk braces iaitu Conventional dan Self-Ligating. Beza antara kedua jenis rawatan tersebut adalah:
🔴 SELF-LIGATING:
Self-ligating braces tidak memerlukan elastic rubber bands atau metal untuk memegang wayar pada gigi. Sebaliknya, self ligating mempunyai klik pada bracket untuk memastikan wayar berada pada tempat yang betul.
🔴 CONVENTIONAL:
Braces conventional ini terdiri daripada bracket, arhcwire dan juga elastic band atau getah. Tujuannya sama iaitu untuk menggerakkan mana-mana gigi anda yang ‘lari’ daripada posisi, untuk kembali ke posisi yang betul.
4) Letakkan di hati anda As-Salam Dental sebagai ibu kota untuk mendapatkan rawatan gigi yang terbaik terutamanya pemasangan braces
Antara sebab kenapa anda harus datang ke As-Salam Dental adalah:
🦷 Ruang menunggu dan bilik doktor yang sangat selesa seperti di sebuah villa
🦷 Doktor gigi yang mesra
🦷 Mempunyai alat pergigian yang canggih
🦷 Staf yang mementingkan keselesaan anda
🦷 Masa menunggu yang singkat
5) Jangan sesekali lupa diri setelah anda memakai braces sepanjang tempoh yang telah ditetapkan dan menghasilkan rupa gigi yang tersusun cantik dan memuaskan kerana anda dan pendakap gigi bagaikan sebuah kumpulan atau ‘team’ yang berkerjasama untuk membina keyakinan dan perwatakan yang menawan.

Jika solusi di atas boleh membantu anda, jom buat tempahan untuk slot anda sebelum penuh! Sila klik pautan di bawah ini untuk hubungi kami! 📲